院長 関根 ようへい せきね ようへい
マウスピース矯正、東洋医学、スポーツ歯科担当、鍼灸治療
- 1998年
- 明治鍼灸大学 鍼灸学部 卒業(鍼灸師取得)
- 2004年
- 昭和大学 歯学部 卒業
- 2010年
- 昭和大学歯学部大学院 卒業(歯学博士取得)
- 2013年
- 矯正歯科学会 理事・認定医
日本歯科東洋医学会 理事・認定医
みはる矯正・歯科医院/鍼灸治療院 勝笑堂/スポーツ歯学研究所 VictorySmile 院長 - 2016年
- 弘前大学医学部大学院 卒業(医学博士取得)
- 2021年
- TIADS(東京歯科鍼灸統合勉強会) 主宰
- 2022年
- みはる矯正・歯科医院附属 鍼灸治療院 勝笑堂 設立
FM世田谷 ラジオパーソナリティーとして出演開始 - 2023年
- 日本スポーツ歯科医学会 専門医・指導医
- 2024年
- 東京医療保険大学 客員教授
院長からのメッセージ
今まで、歯の治療や歯並びに自信が持てなかった方へ
私は、マウスピース矯正、東洋医学、スポーツ歯科、鍼灸治療「美顎鍼」の“みはる”と診療を担当いたします。副院長が一般歯科を広く提供できます。
より多くの方々が安心して矯正治療を受けて頂けるよう、スタッフ一同努めて参りますので、どうぞよろしくお願いいたします。
副院長 関根 ハルカ せきね はるか
一般歯科、アンチエイジング、漢方担当
歯科衛生士の免許を取得後、歯科医師の免許を取得。現在、二児の母。
歯周病、義歯、齲蝕治療、審美歯科の“みはる”と診療を担当いたします。
全ての治療計画は、経験豊富な院長が監修しています
マウスピース矯正はどこの医院で受けても同じではありません。
治療計画や仕上がりは歯科医師の技術や経験によって全く違うものになります。
ワイヤーでの矯正治療の技術、噛み合わせの知識、全身治療の意義、審美治療の技術を駆使して経験豊富な関根陽平院長が全ての治療を監修していますので、ご安心下さい。
できる限り、痛みの少ない・削らない・抜かない矯正治療と一般歯科を提供します
全ての治療において、患者様の立場に立ち、長期的な歯の健康を考えた矯正治療・一般治療を提供します。
東洋医学とスポーツ歯科を応用した、新しい歯科医療を提供しております
歯科鍼灸、歯科漢方、スポーツ歯科の考え方を応用することで、従来の矯正歯科、一般歯科では治りにくい、むし歯、歯周病、歯並びにアプローチして参ります。また、北千束駅に、当院附属の鍼灸治療院「勝笑堂」を開設しております。
総合的に、患者様の体の不調を改善します。
当院の歯科治療で、体の元気を維持し、アンチエイジングにつなげます
副院長・関根春香先生による、ヒアルロン酸治療、咬筋ボツリヌストキシン療法、漢方処方により、アンチエイジングに繋がります。
当院の歯科衛生士による予防歯科で、むし歯や歯周病の再発を抑えましょう
矯正治療の前処置として、また、むし歯や歯周病を再発させないための予防歯科として、歯科衛生士によるメンテナンスを継続して受けることが可能です。
総合歯科クリニックの利点を活かします
みはる矯正・歯科医院は総合歯科クリニックです。
矯正治療に入る前には、歯ぐきやむし歯のチェックを行い、必要であれば速やかに治療させて頂きます。矯正の為の抜歯も当院で行っています。
矯正治療修了後のホワイトニングを始めとする審美治療まで幅広く対応しております。
可能な限り、非抜歯の矯正治療計画にて行っております
「歯を抜くのは嫌・・・」という気持ちは私たちも分かります。
他医院で、抜歯前提の矯正を進められた場合も当院ではできる限り、非抜歯の治療計画も立案します。ご相談下さい。
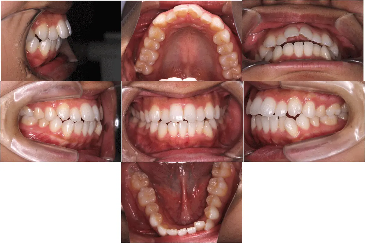
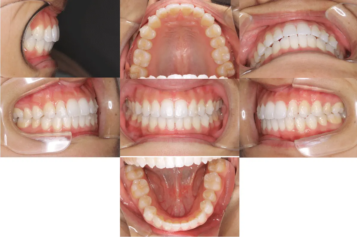
症例1
矯正治療前

矯正治療後

| 治療の説明 | 上下顎叢生、上顎前歯の著しい前突 |
|---|---|
| リスク | プロサッカーGK 外傷の危険性がかなり高い |
| 治療期間 | 2年間 |
| 治療金額 | 110万円(税込) |
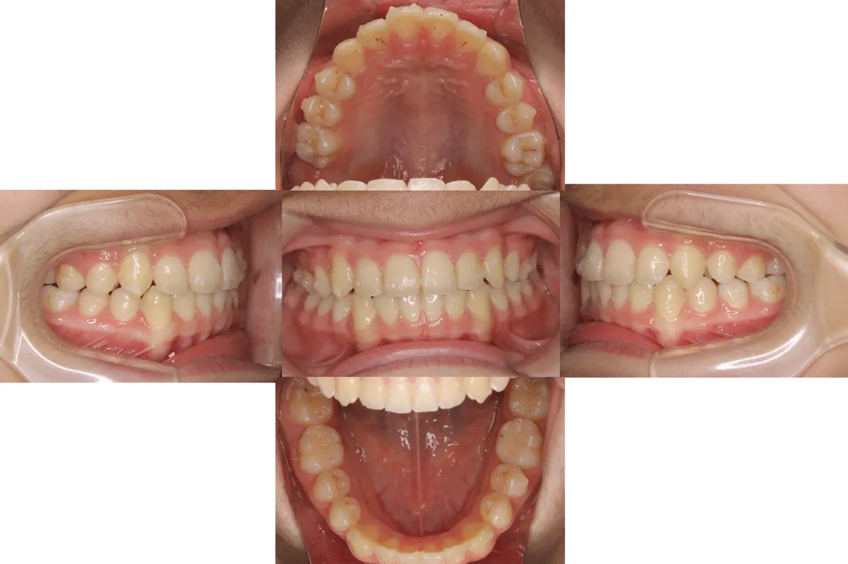
症例2
矯正治療前

矯正治療後

| 治療の説明 | 反対咬合 ジュニアからトッププロ選手まで |
|---|---|
| リスク | 反対咬合は骨格・歯並びを追いかけるため長期間になる |
| 治療期間 | 8.3歳から18.3歳の10年間 |
| 治療金額 | 110万円(税込) |
マウスピース矯正の費用目安例
当院の矯正治療は医療費控除の対象となります
(美容外科などはなりませんが、矯正治療は治療として受けることが可能です)
※ 年収によって 100,000円~200,000円程度、控除されます。
治療の流れ
STEP1 お問い合わせ・ご予約

事前にお電話で予約時間をおとり下さい。
来院の際は、保険証と診察券をお持ち下さい。
ホームページからのご予約も可能です。
STEP2 初診カウンセリング

充分な時間をとってお話をお伺いします。
分からないことは、何でもお聞き下さい。
STEP3 精密診断と治療計画の説明

精密診断の結果、治療計画をコンピューターのシュミレーションをお見せします。
診療費や治療期間についても詳しくお話しさせて頂きます。
この場でどの治療を選択するかの決定をする必要はございません。
一旦ご自宅でじっくりとお考え頂きご検討頂くことも可能です。
私たちは、患者様のお気持ちを第一に考えます。
STEP4 治療スタート

矯正治療の場合
アタッチメント装着、IPRを行い、1~2ヶ月おきに通院下さい。
一般治療の場合
まずはキレイな状態を確保するため、歯周病、むし歯治療と再発予防の処置を行います。
STEP5 メンテナンス

治療の終わりは、予防歯科のスタートです。
二度と悪い状態に戻らないように、私たち、みはる矯正・歯科医院の歯科衛生士がお手伝いします。
医院の外観と院内の様子
アクセス
- 東急目黒線・東急大井町線「大岡山」駅 徒歩1分
- 〒145-0062 東京都大田区北千束3-25-13 服部ビル2F


















